roddom4-kaliningrad.ru
Другое
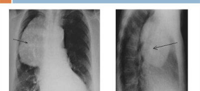
Виды злокачественных опухолей средостения – причины и симптомы рака средостения
Виды злокачественных опухолей средостения – причины и симптомы рака средостения Лечение опухолей средостения Средостение — область грудной полости между легкими,...
Расшифровка и подготовка анализа кала на копрограмму
Расшифровка и подготовка анализа кала на копрограмму Копрограмма – что это за исследование? Показания, техника забора материала и расшифровка результатов...
Диатез у грудных детей — причины, основные проявления и способы лечения
Диатез у грудных детей — причины, основные проявления и способы лечения Симптомы, причины и лечение диатеза у грудных детей Диатез...
Список анализов для лечения бесплодия методом ЭКО
Список анализов для лечения бесплодия методом ЭКО Анализы для ЭКО Для вступления в протокол ЭКО все пары проходят комплексное обследование,...
Атктг что это такое
Атктг что это такое АКТГ в крови Синонимы: АКТГ, Адренокортикотропный гормон, Кортикотропин, ACTH, Adrenocorticotropic hormone, Corticotropin, Научный редактор: М. Меркушева,...
Для любых предложений по сайту: roddom4-kaliningrad@cp9.ru